
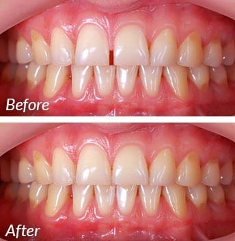
Designing Your Ideal Smile
You'll meet with Dr. Marcus to discuss your goals for you smile. We'll then take digital scans and photos of your teeth and smile.Dr. Marcus sends the information to a master ceramist who creates a tooth-colored resin model of your future makeover.












